| Bệnh Nha Chu 
  Nha chu được quan tâm với việc điều trị bệnh về nướu và các vấn đề liên quan đến mô quanh răng.  
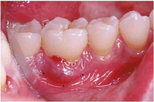
 Thuật ngữ "bệnh quanh răng" hay "bệnh về nướu" liên quan đến hiện tượng viêm nướu và viêm mô quanh răng. Viêm nướu là một tình trạng viêm gây ra bởi những tác nhân: như thuốc lá, hormon ở tuổi dậy thì, phụ nữ mang thai hay bao gồm phản ứng miễn dịch và phản ứng viêm. Viêm nha chu bắt đầu là hiện tượng viêm nướu, chảy máu, Răng lung lay. Và nếu không điều trị, sẽ dẫn đến hiện tượng hôi miệng và mất răng.
 LỜI KHUYÊN : Nên đánh răng ít nhất 2 lần mỗi ngày sau khi ăn và trước khi ngủ,  súc miệng bằng nước muối sinh lí thường xuyên. |