| Nha Khoa Tổng Quát 
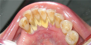
   Cạo vôi (lấy cao răng) - Đánh bóng : Đây là phương pháp lấy đi vôi, các vết dính sậm màu trên răng bằng máy siêu âm và đánh bóng răng. Việc này phải do bác sĩ nha khoa thực hiện. Thường gọi là lấy cao răng hay lấy vôi răng, việc cạo vôi răng nên được thực hiện thường xuyên mỗi 6 tháng một lần    
 NHỔ RĂNG 
 
 Nhổ răng thông thường là một thao tác đơn giản, thường chỉ làm một lần khi đến khám Bác sỹ. Sau khi nhổ răng, nướu răng cần để lành thương rồi mới làm cầu răng, cắm Implant hoặc hàm giả để ngăn ngừa sự teo nướu trong thời gian dài. 
   Thường nhổ răng theo những nguyên nhân sau: 
    Răng bị sâu      nhiều không thể hồi phục. Răng lung lay nhiều do nha chu. Răng bị gẫy mà không thể hồi phục. Răng bị mọc lệch lạc. Răng nhổ để chuẩn bị làm chỉnh hình Những lưu ý sau nhổ răng: 
    Cắn chặt gòn cắn. Ăn thức ăn mềm và uống nhiều nước. Súc miệng bằng nước sát trùng và vệ      sinh răng miệng kỹ. Dùng thuốc theo toa của Bác sỹ. Cần chườm lạnh sau phẫu thuật để      giảm sưng Trám răng Thẫm mĩ 
  là phương pháp phục hồi những răng sâu, sứt, mẻ bằng composite có màu giống như màu răng. Trám răng thẫm mỹ còn được áp dụng với răng bị nhiễm sắc không đáp ứng với tẩy trắng răng. Đối với những răng mặt răng khuất phía sau, Bác Sĩ Nha Khoa cũng sẽ thực hiện phương pháp trám răng thẫm mỹ nếu quý khách có nhu cầu.     
 |